Nose vs Mouth Breathing: Facial Development & and Mewing
Nose Breathing and Mouth Breathing: Impact on Facial Structure and Function
Nose breathing and mouth breathing significantly affect mental health, physical health, and performance. This article focuses on the influence each type of breathing has on facial appearance and function. To understand the development of your current oral posture and habits, it's essential to consider the habits formed in childhood.
It's Not All Genetics:
Contrary to popular belief, a significant part of your facial structure's development depends on whether you've been breathing through your nose or mouth throughout your life, as well as the nutrients consumed in childhood. Genetics play a lesser role in facial development during childhood and adolescence than commonly thought. Like body posture, facial structure is influenced by daily habits and activities. While genetics determine certain facial features like skin color, facial hair, ear size, eye color, and eyebrow shape, the overall structure is shaped by environmental stressors and long-term habits, especially during developmental years. This is explained by Wolff's law, which states that bones adapt to the loads they're subjected to. For example, postural abnormalities like scoliosis or kyphosis often result from repeated dysfunctional movement patterns, causing the body to structurally adapt to these as "default" positions.
Allergy at 12 years old leading to poor facial and airway development
Hormones Aren't the Main Factor:
Hormones, often blamed for facial differences between genders, play a less significant role than thought. Characteristics like high cheekbones and broad jawlines, associated with high testosterone, are not solely due to hormonal influences. Facial development is more closely linked to oral posture and the intake of vital nutrients (like fat-soluble vitamins D, K2, E, and A) crucial for bone strength and growth.
The Ever-Changing Body:
The human body is constantly changing. Even as adults, changes occur, albeit more slowly than in childhood. With the right knowledge, it's possible to improve facial and body posture, impacting appearance, health, and performance. The bones in the face, connected by sutures, are not fixed and can be influenced over time.
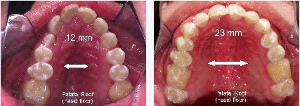
Narrow Palate = Narrow Airway , Wide Palate = Airway Expanded
The Link Between Breathing and Oral Posture:
Breathing through the nose is essential for 32 different body functions. It influences facial and cranial development from childhood into adulthood. Nose breathing encourages the mouth to stay shut, teeth to remain together, and the tongue to rest on the palate. These practices, known as "mewing," promote forward growth of facial bones like the maxilla and mandible, crucial for a non-restricted airway. Conversely, mouth breathing can lead to sleep apnea and other health risks.
Proper Dental and Facial Development
The Maxilla and Mandible:
Babies typically exhibit 'perfect' facial structures with forward growth, a result of natural nose breathing. Tongue pressure on the palate during childhood supports forward maxilla growth, shaping the face and teeth alignment. Adults with improper oral posture often have narrow, 'V'-shaped palates, leading to crowded teeth and other issues. Childhood habits significantly influence maxilla development.
The mandible's development is also crucial. Forward growth of the maxilla prompts the mandible to align properly, facilitating strong jaw muscles and proper facial development. Mouth breathing, however, can lead to a downward growth pattern, narrow jaws, receding chins, and poor body posture.
Nasal vs Mouth Breather Characteristics
Tongue Position:
Without proper tongue posture (resting on the roof of the mouth), the airway narrows, increasing health risks. The tongue, consisting of multiple muscles, is larger than it appears and extends down to the esophagus.
"Mewing" Recap:
Coined by Dr. John and Dr. Mike Mew, "mewing" refers to maintaining proper tongue and oral posture, crucial for facial development. It involves keeping the mouth shut, teeth together, and the tongue resting on the palate. Consistent practice of mewing can lead to gradual muscle and bone changes, improving facial appearance and posture.
Nose Breather vs Mouth Breather Characteristics
Deep Front Line:
Improper oral posture affects more than the face; it impacts body posture and core strength. Addressing these issues requires a holistic approach, considering the interconnectedness of facial and core muscles. Training systems like Functional Patterns offer integrative methods to improve overall biomechanics and quality of life.
Deep Front Line Fascia
In conclusion, the way we breathe, coupled with our childhood habits and nutrition, significantly shapes our facial structure. Understanding and applying principles of correct oral posture and nose breathing can lead to positive changes in facial aesthetics and general health. This underscores the importance of a holistic approach to health that considers the interplay between our habits, physical development, and overall well-being.

